Mi amiga cercana que trabaja en el laboratorio de ecografía pediátrica de la Universidad de California, Los Ángeles, celebró recientemente el cumpleaños número 17 de su primer paciente de trasplante de corazón. Cuando ella me contó de la celebración, me conmovió más allá de las palabras, no solo porque también soy padre, sino porque es la culminación de lo que aspiramos a hacer para mejorar las imágenes pediátricas. Esta travesía hacia el cumpleaños número 17 comenzó con una ecografía del corazón de este niño hace más de una década. Estas pueden ser exploraciones desafiantes porque, como cualquier padre sabe, cuando los niños vienen al consultorio del médico, vienen asustados, se retuercen, quizá incluso llorando. Los padres también están ansiosos por llevar a sus hijos a casa, así que cualquier procedimiento de imagenología debe ser rápido y hacerse bien la primera vez. Además, debe hacerse con herramientas específicas que se adapten a las anatomías únicas de los pacientes más jóvenes. Después de todo, los niños no son simplemente adultos pequeños. Desde esa exploración inicial. sin duda, las innovaciones en ultrasonido y ecocardiografía han dado lugar a más historias como esta. Además, en el campo de la atención pediátrica, los avances en otros métodos de imagenología están ayudando a proporcionar la mejor atención posible para nuestros pacientes más jóvenes. Es fundamental mejorar la imagenología pediátrica, ya que cada vez es más popular hoy en día. La inversión de las organizaciones de atención médica en imagenología pediátrica supera los USD 6 mil millones en todo el mundo y se proyecta que crezca un 7% para 2027. [1] Las mayores incidencias de nacimientos prematuros, enfermedades pediátricas y lesiones (que requieren dispositivos específicos de imagenología), así como también una mayor demanda de atención preventiva, están impulsando la necesidad de una innovación continua en la imagenología pediátrica. Como ecógrafo con un interés permanente en nuestros pacientes más jóvenes, realmente creo que la industria de las imagenología pediátrica está a la altura del desafío. De hecho, veo que la industria ya está innovando para satisfacer esta demanda mediante el desarrollo de herramientas y sistemas nuevos y únicos de imagenología pediátrica que pueden visualizar y diagnosticar de manera rápida, segura y precisa condiciones complejas en pacientes pediátricos en función de sus necesidades únicas. Estas son las cuatro innovaciones que más me entusiasman.
Uno de los avances más sofisticados en la imagenología pediátrica es la capacidad de detectar anomalías fetales en el útero, especialmente defectos del corazón relacionados con la enfermedad cardíaca congénita. Aproximadamente 1 de cada 100 bebés nace con cardiopatía congénita y un tercio de estos niños se someterá a una intervención quirúrgica o a una intervención basada en catéteres durante el primer año de vida. [i] Cuando estás anomalías se detectan temprano, los niños tienen una mayor probabilidad de celebrar más cumpleaños que cuando no se detectan sino hasta más tarde en la vida.

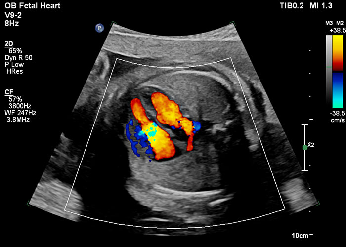
Imagen de ultrasonido que ilustra un corazón fetal a las 28 semanas Seguimos innovando en esta área e incluso hemos desarrollado soluciones que incorporan resonancia magnética para abordar anomalías congénitas en el útero. Esta innovación en imagenología cardíaca fetal está ayudando a obtener imágenes de patologías complicadas incluso antes de que nazca el bebé. Esto puede permitir que la planificación del tratamiento comience mientras el bebé está en el útero, lo que les da la mejor oportunidad de obtener el mejor resultado posible. Estas innovaciones son tan emocionantes porque si una anomalía se detecta a tiempo, hoy en día, algunas cirugías incluso se pueden hacer en el útero para corregir defectos cardíacos, lo que mejora los resultados puesto que los niños se recuperan mejor mientras aún están inmersos en líquido amniótico. [i],[ii],[iii] Detectar las anomalías cardíacas de manera temprana también ayuda a prevenir complicaciones al nacer puesto que las madres pueden planificar dar a luz en hospitales equipados para manejar cualquier complicación esperada, lo que le da a su bebé la mejor oportunidad de supervivencia.
Si en una ecografía prenatal se encuentra algo que justifica una mayor investigación, o si el feto tiene un mayor riesgo de una anomalía cardíaca, entonces se justifica la ecocardiografía cardíaca fetal para detectar dichas anomalías. El ecografía fetal, que utiliza transductores y aplicaciones diseñadas específicamente para detectar anomalías en el corazón fetal, se utiliza para el diagnóstico de las anomalías congénitas más complicadas. Durante el eco fetal, los médicos pueden evaluar la estructura y la función del corazón del bebé, al examinar un objeto del tamaño de una almendra que late unas 150 veces por minuto, en busca de pequeños agujeros y conexiones. A medida que la tecnología ha madurado, vemos que las innovaciones en la ecografía fetal crean exploraciones de mayor precisión, al tiempo que optimizan el flujo de trabajo para que los transductores sean más fáciles de usar para los médicos.
Para los pacientes pediátricos y sus padres, los exámenes mediante imagenología pueden ser una de las experiencias más aterradoras en su trayecto por la atención. Esto plantea un desafío para el personal médico, porque necesitan tener mucho cuidado para ayudar a los pacientes a mantener la calma y quedarse quietos durante la exploración. Sin embargo, con demasiada frecuencia, esto no es posible. Esto conduce a exploraciones repetidas, que ocurren en un estimado de 20 a 30% de las exploraciones, [i] o a la necesidad de sedación, lo que puede plantear riesgos para la salud a largo plazo, como el deterioro del desarrollo del cerebro. [ii] La mejora de la experiencia de la resonancia magnética (IRM) pediátrica es un área donde abunda la innovación. Debido a que la IRM no implica radiación ionizante, se está convirtiendo en el método preferido de exploración para diagnosticar una amplia gama de afecciones en niños causadas por lesiones, enfermedades o anomalías congénitas; lo que incluye desde la evaluación de la lesión después del trauma hasta el monitoreo de la respuesta al tratamiento del cáncer o a la cirugía. En la actualidad, más del 80% de los sitios de IRM realizan procedimientos pediátricos de IRM, y uno de cada 10 exámenes de IRM es un examen pediátrico.[iii] Para apoyar esta necesidad, las innovaciones en las técnicas de IRM específicamente para pediatría están creando una experiencia mucho más amigable para los niños, lo que está generando mejores resultados. Para ayudar a reducir el miedo de un niño con respecto a los exámenes de resonancia magnética, nos basamos en el éxito de nuestras soluciones de experiencia ambiental para IRM, para crear una experiencia de extremo a extremo que ayude a los niños a prepararse para su examen con anticipación. Para este propósito, desarrollamos una aplicación galardonada y un libro para colorear que ayuda a educar de antemano a los niños sobre la experiencia. La aplicación utiliza videos y gamificación para darles a los niños una idea de lo que pueden esperar. Una vez en su cita, pueden interactuar con el KittenScanner, que es un escáner de juguete que los educa sobre el proceso de escaneo mediante de manera juguetona. Una vez dentro de un sistema de resonancia magnética, el concepto experiencia ambiental de Philips proporciona una experiencia de video inmersiva que distrae y entretiene a los pacientes pediátricos mientras están acostados dentro del resonador magnético.

Antes de someterse a un examen de resonancia magnética, los niños pueden jugar con una aplicación educativa (en casa) y con un escáner de juguete (en el hospital) para tener una idea de lo que pueden esperar. Los pacientes pediátricos a menudo experimentan altos niveles de estrés en las salas de admisión, como cuando los pacientes de oncología visitan el hospital para una exploración mediante PET/TC. También hemos trabajado en estrecha colaboración con el Phoenix Children's Hospital para desarrollar un entorno de experiencia ambiental en las salas de captación de PET/TC que calma a los pacientes para ayudar a aliviar su estrés, lo que puede producir mejores resultados de imagenología. En un emocionante desarrollo potencial para la imagenología pediátrica, Philips se asoció recientemente con Walt Disney Company EMEA en una colaboración de investigación para probar temas personalizados de Disney dentro de la experiencia ambiental de Philips en hospitales selectos de toda Europa. Si el proyecto pasa a una fase comercial, los pacientes de RM podrían seleccionar su historia y su personaje favoritos de Disney para proporcionarles una sensación de control y comodida.
Lamentablemente, la obesidad infantil se ha convertido en una epidemia mundial. Esto ha llevado a que niños de tan solo 8 años de edad se presenten en la clínica con hígados grasos, función hepática alterada e incluso diabetes tipo II. Lo que una vez se conoció como el inicio de la diabetes en adultos ahora está apareciendo cada vez más en la infancia. Esta es una tendencia preocupante, pero si podemos encontrar signos de enfermedad hepática lo suficientemente temprano, además de comenzar el tratamiento y monitorear la progresión, tenemos una mejor oportunidad de revertir el daño al detener la causa.
La tecnología especial de ultrasonido, diseñada específicamente para la atención pediátrica, ha sido una innovación revolucionaria para monitorear la salud del hígado pediátrico. Hemos creado una solución de ultrasonido diseñada para pediatría, por ejemplo, que está diseñada para proporcionar imágenes rápidas y seguras, pero amables, específicas para las necesidades de los niños, lo que eleva su nivel de cuidado como nunca antes. Con transductores especializados y elastografía optimizada para los niños, ofrece una mejora del 30% en la penetración en comparación con la generación anterior de transductores pediátricos.[i] También tiene una funcionalidad que proporciona evaluación en tiempo real de la rigidez tisular, lo que es ideal para el paciente pediátrico que puede plantear dificultades para la obtención de imágenes. Esta innovación puede prevenir la necesidad de una biopsia hepática. En el Phoenix Children's Hospital, esta solución para imagenología de hígado entero está ayudando a los niños a mejorar su salud hepática.[ii] Por ejemplo, un varón de 11 años con sobrepeso, con enzimas hepáticas elevadas y preocupaciones por la esteatohepatitis no alcohólica (EHNA) fue remitido para ecografía hepática con Doppler y elastografía por onda de choque. El ultrasonido reveló signos de esteatosis hepática, una acumulación de grasa en el hígado que podría conducir a la EHNA. El paciente podría entonces remitirse a un dietista registrado para la pérdida de peso, sin la necesidad de imagenología o de biopsia adicional.
La radiografía sigue siendo la experiencia de imagenología más común para los pacientes pediátricos. Tener una radiografía por un posible hueso roto es casi un rito de iniciación para los niños. Pero debido a que es tan común y está ampliamente disponible, es importante asegurar que los exámenes radiográficos sean lo más seguros posible. Los exámenes radiográficos exponen a los niños a la radiación, por lo que deben hacerse correctamente la primera vez para mantener la dosis de radiación lo más baja posible. Me complace ver que las innovaciones específicas de la pediatría ayudan a ofrecer una experiencia de rayos X tranquila, segura y precisa. Hemos diseñado desde cero nuestra cartera de sistemas de radiografía digital y fluoroscopia para pacientes pediátricos. La fluoroscopia controlada por cuadrícula, por ejemplo, es una técnica de imagenología exclusiva de Philips que permite la reducción de la dosis mediante el ajuste de la dosis en tiempo real a través de la capacidad de ajustar la intensidad de cada pulso en tiempo real. Las características adicionales, como los filtros automáticos y la colimación en la última retención de la imagen, se diseñaron para beneficiar tanto al paciente joven como al personal.

La radiografía, o los rayos X, sigue siendo la modalidad más común en imagenología pediátricas y se puede administrar de una manera que ofrezca una experiencia tranquila y segura incluso para los pacientes más jóvenes Otro ejemplo de un diseño para pediatría es un cabezal de tubo que se diseñó con los pacientes pediátricos en mente. Al incorporar un monitor de pantalla táctil grande, los tecnólogos pueden trabajar justo al lado del paciente, lo que ayuda a calmar sus nervios. Además, antes de tomar una exposición desde la sala de control, el tecnólogo puede verificar que el paciente no se ha movido, para evitar así repeticiones innecesarias. Otras herramientas innovadoras están ayudando a impulsar la eficiencia del flujo de trabajo en radiografía, lo que les permite a los tecnólogos ver a más pacientes por día y acortar los tiempos de espera al disminuir el tiempo hasta el diagnóstico. Por ejemplo, debido a que un paciente pediátrico varía desde recién nacido hasta los 18 años de edad, definir al paciente adecuadamente para la adherencia al protocolo puede ser una tarea que requiere mucho tiempo. La interfaz de nuestros sistemas de radiografía digital les permite a los tecnólogos seleccionar rápidamente entre múltiples perfiles de pacientes diferentes. Existen tres perfiles para pacientes pediátricos que el sistema puede determinar automáticamente según la fecha de nacimiento. Cada perfil se optimiza para dosis bajas y alta calidad de imagen para ese paciente específico.
La atención perfecta diseñada para el paciente pediátrico es lo que hace que hitos como el cumpleaños número 17 del paciente de trasplante de corazón de mi amigo sean posibles. Es lo que me motiva a impulsar la innovación intencional todos los días para que se puedan realizar más exploraciones pediátricas correctamente la primera vez, para brindar el mayor valor diagnóstico con el menor riesgo para nuestros pacientes más jóvenes. Hacer realidad esta visión requiere un profundo compromiso con la investigación y el desarrollo en imagenología pediátrica, para que cada paciente pediátrico tenga una experiencia de imagenología que sea segura, cómoda y precisa. Cada procedimiento de imagenología pediátrica tiene sus propios riesgos, beneficios, desafíos y potenciales, por lo que su optimización para los pacientes pediátricos debe ser constante. La vida de los niños se beneficiará o se verá perjudicada por las decisiones de imagenología que se tomen en su nombre. Debemos crearles tecnologías y experiencias que produzcan los mejores resultados posibles.
Referencias: [1] https://www.grandviewresearch.com/industry-analysis/pediatric-imaging-market#:~:text=b.-,The%20global%20pediatric%20imaging%20market%20size%20was%20valued%20at%20USD,USD%207.3%20billion%20in%202020.&text=The%20global%20pediatric%20imaging%20market%20is%20expected%20to%20grow%20at,USD%2012.1%20billion%20by%202027.[i] https://www.heart.org/en/news/2018/12/17/halfway-through-pregnancy-their-baby-needed-in-utero-heart-surgery-should-they-risk-it [ii] https://give.brighamandwomens.org/fetal-cardiac-surgery/ [iii] https://www.nationwidechildrens.org/specialties/fetal-cardiac-program/fetal-cardiac-intervention [i] https://journals.sagepub.com/doi/full/10.1177/0218492317694248 [i] 20 – 30% of scans need to be repeated due to motion (Field strength MRI Magazine, June 2016) [ii] https://www.ncbi.nlm.nih.gov/pmc/articles/PMC6078876/ [iii] IMV 2019 MR Market Outlook Report [i] *Internal measured comparison on calibrated tissue phantom between mC12-3 and C8-5 transducers on EPIQ Elite ultrasound system. [ii] “Diagnosis and management of pediatric steatosis using ultrasound,” Philips Clinical Case Study, 2021

KOL Engagement Leader for Precision Diagnosis at Philips Julia is passionate about providing the highest quality of care and improving patient experience. She is dedicated to creating and propagating solutions that improve clinical and operational outcomes and is an expert in ultrasound imaging.
Follow me on