La mayoría de los departamentos de RM comparten tres prioridades: aumentar la productividad, la satisfacción del paciente y la satisfacción del médico especialista3. Una velocidad que no afecte a la calidad de la imagen puede satisfacer estas necesidades.
Esto es lo que nos impulsó a ser pioneros en aplicaciones de velocidad y, hasta hace poco, en nuestro motor de aceleración de última generación, Compressed SENSE. Ahora, nos basamos en nuestra actual tecnología y la mejoramos con IA.
SmartSpeed de Philips ofrece imágenes rápidas de alta calidad para un mayor número de pacientes, incluidos los que sufren dolor, los que tienen dificultades para contener la respiración durante la exploración o los que tienen implantes de uso condicionado para RM.

Hasta 3 veces más rápido
Al escanear hasta 3 veces más rápido1 y ayudar a reducir el tiempo total de las exploraciones, SmartSpeed de Philips puede aumentar la productividad del departamento de RM y reducir el coste por exploración.

Hasta un 65% más de resolución
Al proporcionar una mayor resolución1, SmartSpeed de Philips ofrece una alta calidad de imagen para que los radiólogos puedan sentirse seguros a la hora de proporcionar información al médico especialista.

Compatibilidad del 97%
Puesto que SmartSpeed de Philips está diseñado para una amplia variedad de pacientes con un 97% de aplicabilidad de todas las secuencias2, puede utilizarse para satisfacer las necesidades de obtención de imágenes de la gran mayoría de los pacientes.

Compressed SENSE: Nuestro motor de aceleración de última generación, utiliza un enfoque de obtención de muestras del espacio k totalmente equilibrado para maximizar la velocidad y conservar los detalles. ¿El resultado? No se compromete la calidad de la imagen.
Compressed SENSE: Nuestro motor de aceleración de última generación, utiliza un enfoque de obtención de muestras del espacio k totalmente equilibrado para maximizar la velocidad y conservar los detalles. ¿El resultado? No se compromete la calidad de la imagen.

Adaptive-CS-Net: Una galardonada reconstrucción de IA4 que se ha alimentado con datos de Compressed SENSE como información y que se aplica en la fuente de la señal de RM para garantizar la máxima fidelidad de los datos y de la imagen.
Adaptive-CS-Net: Una galardonada reconstrucción de IA4 que se ha alimentado con datos de Compressed SENSE como información y que se aplica en la fuente de la señal de RM para garantizar la máxima fidelidad de los datos y de la imagen.

Me asombra el gran potencial de Smart Speed. Ahora es posible obtener imágenes musculoesqueléticas en 3D. Gracias a ello, obtengo imágenes de muy buena calidad en un tiempo de exploración muy corto, lo que es fundamental en un centro de diagnóstico por imagen privado como el nuestro.”
Dr. Tobias Schröter
MRT-Praxis Postdam, Alemania

La reconstrucción basada en IA de Philips SmartSpeed marca nuestro nuevo punto de referencia para las técnicas de aceleración. Mejora todos los aspectos de Compressed SENSE y permite reducir los tiempos de exploración con la misma calidad de imagen y fiabilidad en el diagnóstico."
Dr. Grischa Bratke
Centro Médico Universitario de Colonia, Alemania

La excelente capacidad de eliminación de ruido de SmartSpeed de Philips permite obtener imágenes con una resolución extremadamente alta sin aumentar el tiempo de adquisición. Esto es especialmente importante, por ejemplo, para representar lesiones pequeñas en el sistema vascular".
Takashige Yoshida, Ph.D.,
Hospital Metropolitano de la Policía de Tokio, Japón


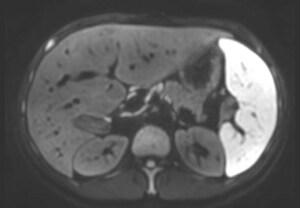
T2w TSE
Ingenia Ambition 1.5T


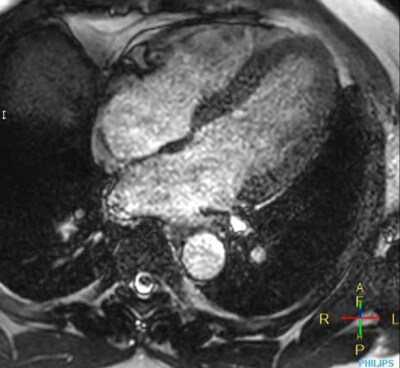
Cine 2D BFFE (4 CAV)
Elition X 3.0T
Hospital Metropolitano de la Policía de Tokio, Japón





Rellene el formulario y nos pondremos en contacto con usted lo antes posible para ofrecerle una solución con inteligencia artificial en radiología a medida para su departamento.


1. En comparación con SENSE de Philips
2. En promedio. Medición realizada en una selección de centros de la base instalada de equipos de RM de Philips
3. MI&A Informe de conocimientos, RM. Q1. 2021
4. La tecnología Adaptive-C-SENSE-Net es la ganadora del FastMRI Challenge organizado por Facebook AI Research and NYU Langone Health.
5. De acuerdo con la definición de IA del Grupo de alto nivel de expertos en IA de la UE.
You are about to visit a Philips global content page
Continue