Accidente cerebrovascular isquémico

Tratamiento del accidente cerebrovascular isquémico

Ícono de neurovascular

    Prepárese para asumir nuevos desafíos en el tratamiento del accidente cerebrovascular isquémico

     

    Observamos un fuerte aumento de las intervenciones de trombectomía como tratamiento de primera línea para los pacientes que padecen un accidente cerebrovascular isquémico. También se está produciendo un cambio de la selección de pacientes basada en el tiempo a la basada en la imagen en este ámbito. Nuestra suite Neurovascular se ha desarrollado para hacer frente a estas tendencias. Puede apoyar altos niveles de eficiencia en los procedimientos y redefinir los resultados para sus pacientes que padecen un accidente cerebrovascular.

    Productos destacados para este procedimiento

    Azurion 7 B20/15

    Sistema de terapia guiada por imágenes Azurion 7 B20/15

    Amplíe la cobertura en neurocirugía y la flexibilidad con detectores planos frontales de 20” y laterales de 15” líderes en la industria

    Ver claramente mientras se gestiona la seguridad para todos los involucrados

    Experimente un flujo de trabajo clínico simple y uniforme con las funciones para neurocirugía especializadas

    Tarjetas de procedimiento (ProcedureCards)

    ProcedureCards

    Un hospital redujo el tiempo de preparación del laboratorio en un 12 % con el apoyo de ProcedureCards.1

    Ayuda a optimizar y estandarizar la configuración del sistema

    Ayuda a reducir los errores de preparación

    Soluciones clínicas para el tratamiento del accidente cerebrovascular isquémico

    Imagen infográfica
    Tres SmartCT

    Visualización similar a una TC

    SmartCT Soft Tissue  genera una visualización de los tejidos blandos similar a la de una TC y apoya el diagnóstico del accidente cerebrovascular de tres maneras. Una exploración sin contraste ayuda a detectar los cambios isquémicos tempranos. Una exploración de fase temprana ayuda a identificar la oclusión proximal. Una exploración con contraste de fase tardía ayuda a detectar colaterales.

    SmartCT Vaso IV

    Comprobar la ubicación y la longitud del coágulo

    SmartCT Vaso permite la visualización más allá del coágulo con imágenes periprocedimiento de las caras distales de los vasos en el accidente cerebrovascular isquémico. SmartCT Vaso es una técnica de adquisición basada en una TC de haz cónico y una inyección de contraste intrarterial. Permite la visualización más allá del coágulo con imágenes periprocedimiento de las caras distales de los vasos en el accidente cerebrovascular isquémico. Mediante el llenado retrógrado, se ven las estructuras de los vasos antes y después del coágulo. SmartCT Vaso 3D Roadmap puede utilizarse para visualizar los dispositivos de recuperación de coágulos.

    Ver llenado colateral

    Visualización del llenado colateral

    La vista dual para ver los volúmenes de TC de haz cónico de fase temprana y tardía uno al lado del otro mejora la identificación de la penumbra y permite la visualización del relleno colateral.

    Control periprocedimiento de hemorragias

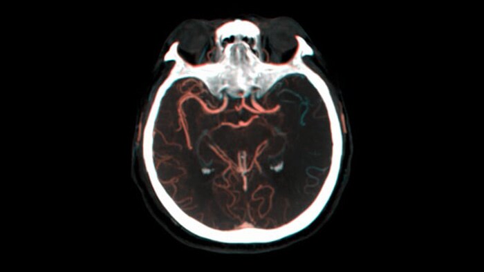
    SmartCT soft tissue

    Use las imágenes de SmartCT Soft Tissue (similar a una TC) de la suite Neurovascular para comprobar el éxito del tratamiento e identificar hemorragias.

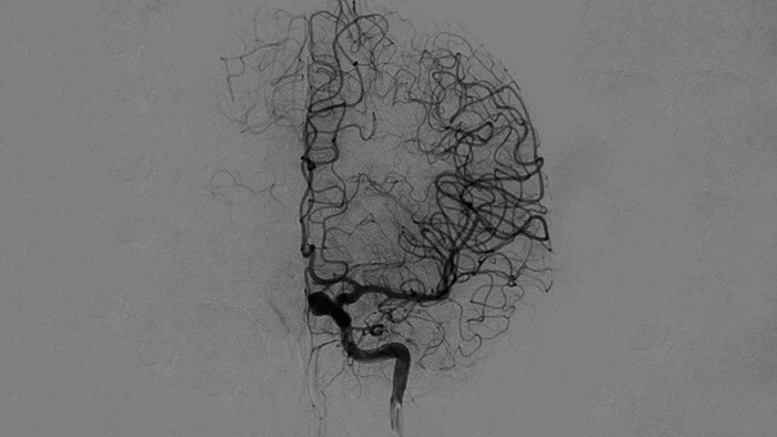
    Imágenes nítidas con ASD 2D con tecnología ClarityIQ

    ASD 2D con tecnología ClarityIQ

    ClarityIQ aplica la compensación automática del movimiento durante la ASD en tiempo real para mantener imágenes nítidas de los vasos. Esto permite tomar decisiones con confianza durante los procedimientos para atender accidentes cerebrovasculares.

    Las referencias anatómicas apoyan una navegación 3D precisa

    SmartCT image

    SmartCT Roadmap proporciona referencias anatómicas para apoyar la navegación precisa de la aguja guía, el catéter y el dispositivo al coágulo.

    Confirmar el éxito del tratamiento

    Visualización de la ASD

    Las visualizaciones de la ASD de alta calidad le permiten evaluar si ha recuperado el coágulo completo y si los trozos de coágulo se han dispersado distalmente en el cerebro. Puede comprobar el restablecimiento del flujo sanguíneo en la penumbra y comprobar si hay hemorragias periprocedimiento.

    Mejorar la visualización de la vasculatura

    Hoja de ruta Pro

    Tome decisiones informadas sobre si se puede alcanzar el coágulo y qué ruta utilizar. Roadmap Pro, una hoja de ruta avanzada de doble contraste, ayuda a mejorar la visualización de los vasos superpuestos, al tiempo que equilibra la exposición a la radiación.

    Innovaciones del flujo de trabajo para el tratamiento del accidente cerebrovascular isquémico


    Azurion ofrece una serie de innovaciones de flujo de trabajo diseñadas para ayudar al personal de guardia a trabajar de manera eficiente y sencilla, mientras mantiene un enfoque único en el paciente y administra la dosis de radiación durante los procedimiento para los aneurismas cerebrales.

    Azurion-biplane-neuro-cerebral
    FlexVision Pro y TSM Pro

    El control completo desde la mesa ahorra tiempo

    FlexVision Pro le ofrece acceso directo y control total de las exploraciones diagnósticas preoperatorias, la información del paciente y las herramientas de planificación desde la mesa para ahorrar tiempo, y evitar tener que entrar y salir innecesariamente del área estéril. El módulo de pantalla táctil Pro permite el control desde la mesa de las imágenes y las aplicaciones con la facilidad de una tableta.

    La multitarea puede acortar los tiempos de los procedimientos

    Trabajo paralelo instantáneo

    El trabajo paralelo instantáneo permite a los miembros del equipo trabajar en diferentes tareas al mismo tiempo sin interrumpirse entre sí para acortar los tiempos de procedimiento para los pacientes críticos que padecen un accidente cerebrovascular.

    El reposacabezas para neurocirugía ayuda a reducir los artefactos de movimiento

    Reposacabezas para neurocirugía

    Se puede utilizar para contener a pacientes inquietos bajo sedación consciente para ayudar a reducir los artefactos de movimiento durante el procedimiento.

    Mesa de quirófano integrada para la atención de pacientes agudos

    Mesa de quirófano Getinge Magnus

    La mesa de quirófano Getinge Magnus se puede utilizar para la atención de emergencias y traumatismos. Está sincronizado con los sistemas de rayos X de Philips para aprovechar las soluciones avanzadas de Philips.

    Azurion 7 M20 puede simplificar los procedimientos

    Mesa de quirófano Getinge Magnus

    Los sistemas de angiografía monoplano se están utilizando cada vez más como sistemas especializados para tratar accidentes cerebrovasculares o como sistemas de respaldo en los departamentos de neurocirugía intervencionista junto con un sistema biplano. Azurion 7 M20 es compatible con todas las herramientas neurointervencionistas avanzadas.

    Tratamiento más rápido del accidente cerebrovascular.
    Mejorar los resultados.
     

    Cuando se trata de un accidente cerebrovascular agudo, todos merecen la mejor atención. Hoy en día, más pacientes pueden beneficiarse de la trombectomía mecánica a través de pautas modificadas, que amplían la ventana de tiempo para el tratamiento endovascular.  

    Video de DTAS

    Explore los diversos procedimientos en la terapia neurovascular guiada por imágenes

    • Tratamiento del aneurisma cerebral

      Tratamiento del aneurisma cerebral

      Soluciones para el tratamiento del aneurisma cerebral para mejorar la certeza durante las intervenciones neurológicas que ofrece la terapia guiada por imágenes de Philips.

      Conozca más
    • Tratamiento de la MAV

      Tratamiento de la MAV

      Nuestras sofisticadas soluciones de imagen neurovascular facilitan la planificación, supervisión médica y decisiones de tratamiento de las intervenciones de malformaciones arteriovenosas (MAV).

      Conozca más

    Referencias

     

    * Como se describe en las instrucciones de uso de SmartCT

     

    1. Söderman M, Holmin S, Andersson T, Palmgren C, Babic D, Hoornaert B. Image noise reduction algorithm for digital subtraction angiography: clinical results. Radiology. 2013 Nov;269(2):553-60. Los resultados de la aplicación de las técnicas de reducción de dosis variarán en función de la tarea clínica, el tamaño del paciente, la ubicación anatómica y la práctica clínica. El radiólogo intervencionista, asistido por un físico si es necesario, debe determinar los ajustes adecuados para cada tarea clínica específica. Resultados basados en el producto dosis-área de la ASD por fotograma de un estudio prospectivo aleatorizado de un solo centro con 20 pacientes. Las series de ASD para Allura Xper con ClarityIQ y Allura Xper sin ClarityIQ  se adquirieron en el canal frontal y lateral del mismo paciente bajo las mismas condiciones de geometría, campo de visión y protocolo de inyección. La calidad de la imagen se basó en una evaluación subjetiva (puntuación de 1 a 5, 1 = muy mala, 5 = excelente, con revisión a ciego por parte de 3 radiólogos que participaron en el estudio).
    2. En un estudio global con más de 60 usuarios, se muestran los resultados obtenidos durante las pruebas de usuario realizadas en el período de noviembre de 2015 a febrero de 2016. Use-Lab GmbH, una empresa independiente y objetiva de consultoría de ingeniería de pruebas de usabilidad y diseño de interfaces de usuario, diseñó y supervisó las pruebas. En las pruebas participaron 31 profesionales de la salud estadounidenses (16 médicos y 15 técnicos) y 30 profesionales de la salud europeos (15 médicos y 15 técnicos), que realizaron procedimientos con Azurion en un entorno de laboratorio intervencionista simulado.

    Siempre estamos interesados en relacionarnos con usted

    Háganos saber cómo podemos ayudar

    1
    Seleccione su área de interés
    2
    Detalles de contacto

    You are about to visit a Philips global content page

    Continue

    You are about to visit a Philips global content page

    Continue

    Nuestro sitio se puede visualizar mejor con la última versión de Microsoft Edge, Google Chrome o Firefox.