Ámsterdam, Países Bajos – Royal Philips (NYSE: PHG, AEX: PHIA), líder mundial en tecnología sanitaria, ha anunciado hoy el lanzamiento de Transcend Plus, la próxima generación de sus sistemas de ultrasonido cardiovascular EPIQ CVx y Affiniti CVx. Transcend Plus ofrece importantes avances en calidad de imagen e inteligencia artificial (IA), incluidas mejoras en la calidad de imagen 2D y 3D recientemente aprobadas por la FDA y un conjunto creciente de aplicaciones clínicas habilitadas para IA, todas diseñadas para enfrentar los crecientes desafíos de la prestación de atención cardíaca. Con un mayor volumen de pacientes, una mayor complejidad clínica y una persistente escasez de personal, Transcend Plus está diseñado para ayudar a los equipos de cardiología a trabajar de manera más inteligente, no más difícil, ofreciendo resultados rápidos y reproducibles con una calidad de imagen sin concesiones y apoyo a la toma de decisiones.

"Transcend Plus representa un audaz salto adelante en la evolución de la ecocardiografía, reforzando nuestro compromiso con la innovación continua, empoderando a los médicos con herramientas impulsadas por IA que mejoran la confianza, aceleran la toma de decisiones y elevan la atención en cada etapa del viaje cardíaco", dijo David Handler, líder comercial de ultrasonido cardiológico en Philips. "Transcend Plus es más que un avance: es una clara declaración del liderazgo de Philips en ultrasonido cardiovascular. Aprovechando el impulso de nuestro lanzamiento original de Transcend, Transcend Plus pone en primer plano todo el poder de la integración de la IA, brindando a los médicos la confianza, la velocidad y la precisión que necesitan para liderar la atención cardíaca, hoy y en el futuro".
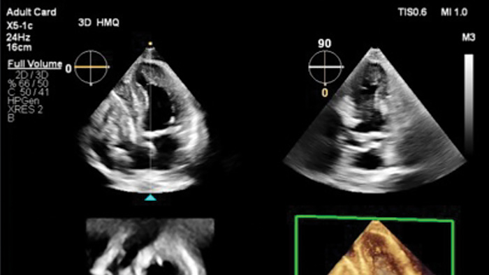
Transcend Plus mejora visiblemente la nitidez, el contraste y el detalle en las imágenes 2D y 3D, con las últimas mejoras aprobadas por la FDA para EPIQ CVx y Affiniti CVx. Estas actualizaciones respaldan una visualización superior de la anatomía y la función cardíacas, lo que permite la confianza en el diagnóstico incluso en los casos más complejos o técnicamente desafiantes. La actualización también presenta la nueva función 2D Auto EF Advanced, que amplía las capacidades de IA para imágenes de contraste, esenciales para evaluar con precisión la función cardíaca.
La inteligencia artificial es una herramienta, no una amenaza, y siempre sostengo que la IA más el humano será mejor que el humano solo o la IA sola.’’
Akhil Narang, MD, Director, Laboratorio de Ecocardiografía y Profesor Asociado de Medicina, División de Cardiología de la Facultad de Medicina Feinberg, Universidad Northwestern e Instituto Cardiovascular Bluhm
Philips ahora ofrece 26 aplicaciones de IA de ultrasonido cardiovascular aprobadas por la FDA, la mayor cantidad en la industria, completamente integradas en Transcend Plus para los sistemas EPIQ y Affiniti CVx. Entre las últimas mejoras que han recibido la autorización 510(k) de la FDA se encuentran 2D Auto EF y 2D Auto EF Advanced. Estas herramientas avanzadas están diseñadas para optimizar los flujos de trabajo clínicos y mejorar la precisión del diagnóstico en una variedad de entornos de atención, desde el laboratorio de ecocardiografía hasta el hospital y las clínicas ambulatorias, la evaluación previa y el seguimiento a largo plazo. Con estas aplicaciones de IA integradas, los médicos pueden evaluar a los pacientes de manera más rápida, consistente y segura en todo el proceso de atención.
La evaluación de la función ventricular izquierda (VI) es una de las aplicaciones más críticas en imágenes cardíacas, ya que desempeña un papel central en el diagnóstico y manejo de una amplia gama de afecciones cardíacas. Transcend Plus respalda directamente esta necesidad al ofrecer resultados rápidos y reproducibles que ayudan a los cardiólogos a evaluar rápida y definitivamente la función del VI de manera consistente en diferentes pacientes y a lo largo del tiempo. Las herramientas automatizadas minimizan la variabilidad del operador, lo que garantiza mediciones más confiables y estandarizadas, especialmente vitales en entornos clínicos de alto volumen o alta presión. Además, Transcend Plus ofrece un soporte sólido para imágenes con y sin contraste. La función 2D Auto EF permite evaluaciones precisas incluso cuando no se pueden usar agentes de contraste, como en pacientes con insuficiencia renal. Sobre la base de esto, 2D Auto EF Advanced agrega capacidades de cuantificación impulsadas por IA para estudios con y sin contraste, ampliando la aplicabilidad clínica y mejorando la confiabilidad de la medición en pacientes con mala calidad de imagen o ventanas acústicas desafiantes. Estas capacidades se combinan para ofrecer un enfoque más confiable y eficiente para la atención cardíaca.
Transcend Plus permite a los médicos tomar decisiones rápidas y seguras en todos los entornos de atención cardíaca, ya sea en el laboratorio de ecocardiografía, en la sala de intervención o durante las evaluaciones ambulatorias de rutina. Al ofrecer imágenes más nítidas y automatización inteligente, permite una atención más informada, agiliza los flujos de trabajo y ayuda a los proveedores a administrar volúmenes crecientes de pacientes sin comprometer la calidad del diagnóstico o el bienestar del médico. Transcend Plus ofrece tres beneficios principales: calidad de imagen mejorada para una visualización más clara de la anatomía cardíaca y precisión diagnóstica mejorada; integración avanzada de IA, con 26 aplicaciones aprobadas por la FDA que automatizan y aceleran las tareas rutinarias; y conocimientos más rápidos y procesables que reducen las demoras y respaldan las decisiones clínicas oportunas y basadas en evidencia a lo largo del proceso de atención.
Los sistemas de ultrasonido de Philips instalados en todo el mundo realizan aproximadamente 1.330 millones de procedimientos de diagnóstico e intervención cada año, apoyando el diagnóstico y el tratamiento de 654 millones de pacientes únicos al año. Transcend Plus se demostró en vivo en el Congreso de la Sociedad Europea de Cardiología 2025 (ESC) en Madrid (del 29 de agosto al 1 de septiembre) y en la reunión anual de la Sociedad Estadounidense de Ecocardiografía (ASE) en Nashville (del 5 al 7 de septiembre), ofreciendo información clínica práctica sobre cómo estas innovaciones están transformando el ultrasonido cardíaco. Visite Philips Cardiovascular Ultrasound para obtener más información.
Royal Philips (NYSE: PHG, AEX: PHIA) es una empresa líder en tecnología de la salud centrada en mejorar la salud y el bienestar de las personas a través de una innovación significativa. La innovación centrada en el paciente y las personas de Philips aprovecha la tecnología avanzada y los profundos conocimientos clínicos y del consumidor para ofrecer soluciones de salud personal para los consumidores y soluciones de salud profesional para los proveedores de atención médica y sus pacientes en el hospital y el hogar.
Con sede en los Países Bajos, la compañía es líder en diagnóstico por imágenes, ultrasonido, terapia guiada por imágenes, monitoreo e informática empresarial, así como en salud personal. Philips generó ventas en 2024 de 18 mil millones de euros y emplea aproximadamente a 69,300 empleados con ventas y servicios en más de 100 países. Las noticias sobre Philips se pueden encontrar en www.philips.com/newscenter.